2023 was a long one. I started out at what felt like rock bottom and ended the year the happiest I’ve been in a long time. Where do we begin…
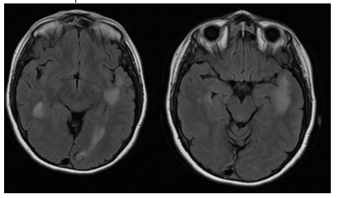
In January of last year, I had just finished up my steroid treatment from a relapse I had in December. At the time, I was unaware of how bad my relapse actually was. The doctors at the hospital I was at told me I had “a few active lesions” and didn’t go into too much detail. I didn’t really have many symptoms at all, so I figured it was mild. When the MRI results were shared with my MS Specialist in Houston, he met with me and informed me that I had several large lesions the size of tumors. He told me “this is really, really bad”. It was very hard hearing my doctor say this to me and it took me by surprise. He told me I had what is called “tumefactive-MS”, which I had never heard of. Essentially, my lesions were the size of tumors (pic below).

My relapse in December came within 14 days of me stopping the MS treatment I was currently on (Dimethyl Fumarate, brand name “Tecfidera”). This medication was causing elevated liver enzymes, so I stopped the medication. In most cases, you would not relapse right away, but I did. Because of the size of my lesions and how aggressive my MS was, my doctor switched me over to a new medication, Ocrevus. This is given via an infusion twice a year and has shown a 90% success rate in preventing relapses in recent studies. After discussing the new plan of treatment, we mentioned that we were hopeful to start a family in 2023. My doctor told me that we had to get my MS under control before that would be an option. To be honest, this broke my heart. I obviously know my health comes first, but I was so excited to start a family in the new year.
With Ocrevus, you have to wait 3 months post infusion to try for a baby. If you do not get pregnant in those next 3 months, then you go in for your next infusion and the clock resets. This cuts your chances of getting pregnant in a year by half as you cannot try to conceive for 6 months out of the year and you have to stop and start constantly. The thought of this alone stressed me out, knowing that many of my friends did not get pregnant in their first 3 months of trying. I figured it would be a long road for us, which upset me even further.
My doctor told us that in order to receive his “approval” to start trying for a baby, I would need to meet 3 conditions. First, I would need to receive two doses of Ocrevus (the first in February and 2nd in August). Second, my MRI scheduled for July 17th (hold that date) would need to be stable or better. If it looked worse, we would not receive a green light. Third, we would need to wait 3 months after I received the infusion (Ocrevus protocol). This pushed our plans out by almost a year. I’ll do another post on the “waiting”, but let’s just say it wasn’t easy on me by any means last year.
After the call, my husband (Grayson) immediately had me looking into all forms of alternative medicine. I booked an appointment with an acupuncturist and a nutritionist that day. We wanted to try every possible option to improve my health. I worked with a dietician through a local company, Nuvitru for several months, and still meet with her from time to time. I completed an elimination diet and we ordered the DUTCH test to take a look at both my gut health and my hormones. I figured we focus on hormones as well to increase my odds of getting pregnant when the time came (and I’m SO glad we did). Again, another post on this later! The main goal was to get my inflammation down. In addition to diet, my dietician put me on several supplements (I’m talking ~26 pills a day) and I went to acupuncture almost weekly, and am still going to this day.
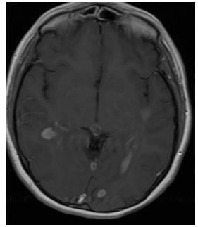
On July 17th, I went in for my 3 hour MRI (you read that right). These MRIs are brutal. I dread them every single time. This was the first time I was offered music and a break halfway thru, which helped a ton! After the MRI came the waiting game. I’ll spare you the details, but after a mix up with the radiologist, followed by him going on a two week vacation, I FINALLY received my results on August 4th. Not only were things stable, but significantly improved!! Below is a pic showing how much smaller my lesions were after only 6 months!

After a very stressful 6 months, we were finally at peace with things. In August I received my 2nd infusion and the wait officially began. & on November 5th, we found out we were pregnant and due on.. July 17th! The day we prayed and prayed over in 2023, will now be the day we pray and pray over in 2024… and it is our biggest blessing!

We spent the remainder of 2023 spending the holidays with our family and friends sharing the good news! More to come on this and how this impacts my MS. We are thrilled to be starting 2024 on a high note and can’t wait for all the joy this year will bring!!